Azoy Dental
Implantología, estética y odontología general. Por una boca sana.

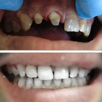
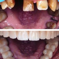
Casos Clínicos

Porque una imagen vale más que mil palabras, aquí tienes algunos ejemplos de nuestros casos clínicos y como hemos mejorado la sonrisa y salud bucal a nuestros pacientes.

Correo
Llamada
Asignación
Instagram